Научете децата и всички ваши близки на следната проста, но животоспасяваща техника, ако се случи под...
След като се снабдите със задължителния за дома пожарогасител, веднага разберете как работи включващ...
Хората, които имат проблеми с алкохола, могат да намерят помощ на много места, в зависимост от специ...
С напредването на възрастта постепенно у някои хора се развива загуба на слуха. Ако усещате подобни ...
Колкото и странно да се вижда това на възрастните, някои деца умишлено вдишват изпаренията на препар...
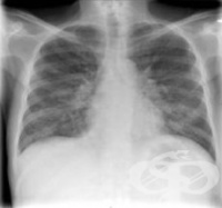
Популярен навик сред мъжете, особено през миналия век, е след вечеря да си запалят пура или лула. За...
Категорията Здравни съвети във framar.bg е мястото, където можете да намерите разнообразни и актуални здравни съвети за различни аспекти на живота. Независимо дали сте мъж или жена, дете или възрастен, тук ще откриете полезна информация за вашето здраве и благополучие.
Съветите в тази категория стигат директно до хората и са полезни за тях. Те са написани на разбираем и достъпен език, без излишни термини и сложни обяснения. Те са лесни и бързи за усвояване и използване. Те ви помагат да подобрите качеството на живота си и да предотвратите или лекувате различни заболявания.
В тази категория можете да намерите съвети за мъжа, за детето, за жената, за златната възраст, при първа помощ, профилактика. Всяка подкатегория съдържа статии, които обхващат различни теми и проблеми, свързани с конкретната група хора или ситуация.
Съветите в тази категория са прецизирани от лекари и съдържат правилна информация. Те са базирани на научни изследвания и доказателства, а не на митове и предразсъдъци.